Hochwertiger Zahnersatz

Hergestellt in ausgezeichneten deutschen Laboren:

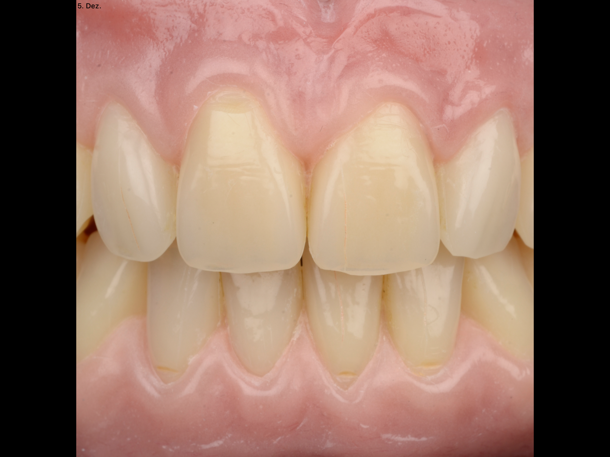
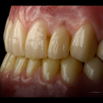
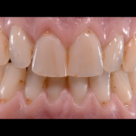
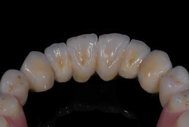
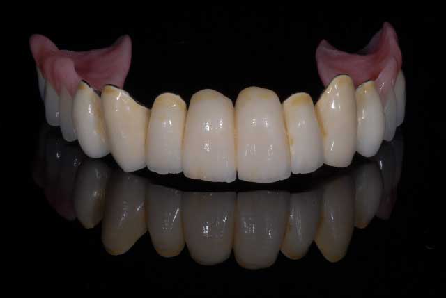
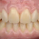
Festsitzend

 

Herausnehmbar

Total Prothetik

Über Mich

Dr. Mirella Popp ist mehrfach zertifizierte Zahnärztin mit Spezialisierung auf ästhetischer Zahnheilkunde

Öffnungszeiten

Mo: 8.30-12.30 und 14.30 -18.30Di : 09.00 -18.00Mi: 08.30 -13.00 und 14.00 -19.00Do: 08.30-12.30 und 14.00-18.00Fr: 09.00-13.00

Kontakt

Phone: 069 – 738 02 05Mainzer Landstr 176, FrankfurtAnfahrt