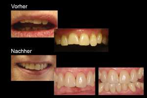
Mund und Zähne prägen unser Gesicht, das Wohlbefinden und die Wirkung auf andere Menschen. Unterbewusst verändert sich durch schlechte oder unschöne Zähne die Mimik eines Menschen.
Ästhetische Restaurationen erfordern viel medizinisches Wissen und Erfahrung und eine individualisierte Behandlung.
Sanierte Zähne können die Mimik positiv verändern, Mundwinkel heben sich, Falten werden gemildert – die Folge – ein sicheres Auftreten, ein gelöstes Lächeln.
Vorher


Nachher


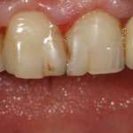
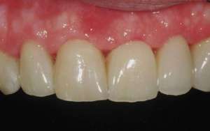
Veneers mit und ohne Präparation
Veneers sind hauchdünne Verblendschalen aus Keramik, die auf die Oberfläche der natürlichen Zähne geklebt werden.
Sie sind vom Zahntechniker in Detail-Arbeit nach der vom Zahnarzt erstellten Abformung hergestellt und sind vom natürlichen Zahn nicht zu unterscheiden.
Durch Veneers kann man verfärbte, zu kurze und abgeknirschte oder leicht schiefstehende Zähne korrigieren. Sie stabilisieren den Zahn. Sie verhelfen zu einem perfekten Lächeln und einem besseren Lebensgefühl. Auch nach Jahren sind die Veneers stabil, farbbeständig und abriebfest, eine gute Pflege natürlich vorausgesetzt.


Vollkeramische Versorgungen
![]()
Zahnformkorrekturen
Bondingtechnik
Die Bondingtechnik erlaubt die Neumodellierung von abgebrochenen oder abgeknirschten Zahnkanten.
- Korrekturen von Zahnfehlstellungen
- Überdeckung störender Zahnverfärbungen
- Schließung von Zahnlücken durch eine spezielle Klebetechnik und die äußerst resistenten neuen Kunststoffmaterialien
